Erosione dentale e disfunzione cranio cervico mandibolare: il caso di Stefania

Diagnosi:

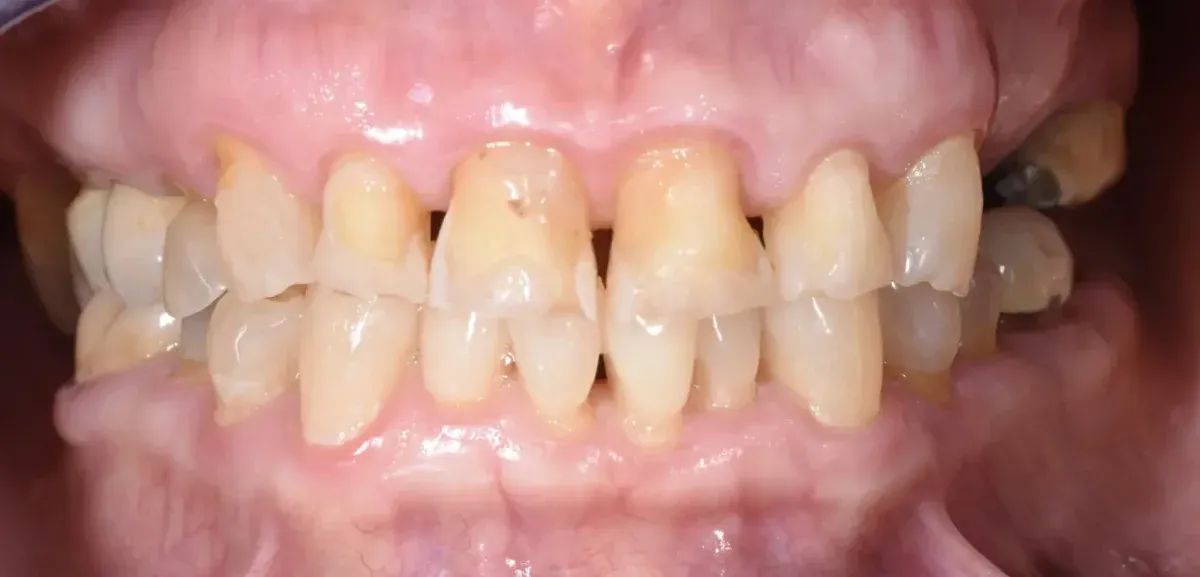
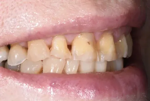
  • Mancanza di alcuni denti
  • Grave usura dentale
  • Disfunzione gnatologica: difficoltà masticatoria, dolore mandibolare e cervicale, click articolari delle atm
  • Compromissione estetica del sorriso

Riabilitazione in tre step

1. Diagnosi strumentale della relazione mandibolo granica

Attraverso una diagnosi clinica e strumentale
abbiamo individuato la disfunzione gnatologica presente e stabilito gli esatti rapporti mandibolo cranici necessari alla paziente per riarmonizzare la funzione.

2. Riabilitazione gnatologica neuro mio fasciale

Attraverso un bite individualizzato (RONMF: riequilibratole occlusale neuro mio fasciale) è stata ricreata una condizione di armonia funzionale consentendo alla mandibola, ai denti, alle articolazioni temporo mandibolari e cervicali e a tutta la muscolatura del distretto cranio cervico mandibolare di funzionare bene e senza sforzi.

3. Riabilitazione protesica ed estetica

L’equilibrio funzionale raggiunto è stato stabilizzato sostituendo il bite con corone estetiche e faccette dentali.

Stefania

“Avevo l’assenza di alcuni denti, forti erosioni e dolori mandibolari…
…dopo la terapia non solo mi sento meglio, mastico meglio, non ho sensibilità dentale , ne dolori mandibolari, ma mi sento anche più in armonia e più felice, sorrido più facilmente e il mio rapporto con il mondo e con me stessa è molto migliorato.”